担心牙贴片5年后翻车?我的真实感受是没后悔,现在牙齿还像刚贴的一样
来源:毛毛网 2025-11-16 16:00:04
浏览量:
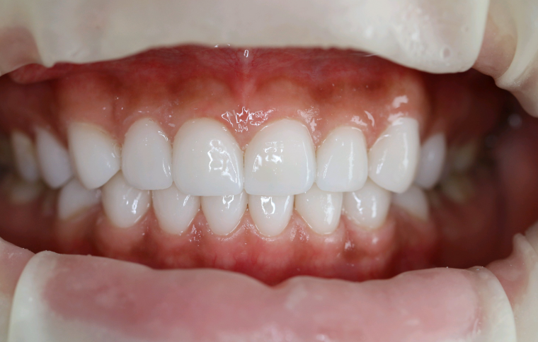
牙贴片能快速改善牙齿外观,可很多人担心其长期疗效,牙贴片5年后会怎样呢?其实,全瓷款牙贴片没崩没黄没敏感,选对材质并做好清洁就比较耐用。www.59w.net接下来,我们将从不同贴面材质5年后的对比、使用体验、维护要点、费用分析以及专门建议等方面,深入了解牙贴片5年后的真实感受。

一、树脂贴面与全瓷贴面5年后对比
树脂贴面和全瓷贴面是常见的牙贴片类型,它们在5年后的表现差异较大。
树脂贴面5年后常见问题:
- 牙龈黑线:粘接界面因材料收缩或技术不足形成微渗漏,细菌和色素堆积,导致牙龈边缘出现灰黑色线条。
- 边缘渗漏:密合度差(误差≥0.3mm),食物残渣和细菌容易侵入,从而导致牙齿龋坏和贴面脱落。
- 维护成本高:平均寿命仅3 - 5年,每次翻修需重新打磨牙齿,累计磨除牙釉质超过0.6mm。
- 变色问题:易氧化发黄,呈现廉价“塑料感”,尤其经常饮用咖啡、茶饮的人群更为明显。
全瓷贴面5年后表现:
- 稳定性高:采用二矽酸锂玻璃陶瓷,透光率与天然牙釉质一致。
- 边缘密合:密合度≤0.1mm,基本杜绝渗漏和黑线问题。
- 美观持久:颜色自然,5年后仍能保持良好色泽。
- 使用寿命长:可达10 - 15年,年均维护成本仅150元/颗。

二、5年使用体验分享
不同人使用牙贴片5年后的体验各不相同,有正面的,也有负面的。
正面体验实例:
- 有人表示做完5年了,牙齿依旧特别整齐,贴面也没有发生变色或腐蚀现象。
- 还有人说现在做完牙齿贴面已经有5年的时间了,没有出现变色、磨损、脱落等问题,特别逼真。
- 五年适应期后,异物感基本消失,可以像往常一样正常进食、说话。
- 美观改变立竿见影,不再为一口难看的牙齿而笑起来遮遮掩掩。59#@w.net
负面体验实例:
- 有人做完牙齿贴面5年,牙龈边缘发黑、贴面缝隙渗漏。
- 树脂贴面3年后出现黑线,而朋友同期选择的全瓷贴面至今牙龈健康如初。
- 边缘区域因粘接剂老化出现0.1 - 0.3mm的微间隙,冷热敏感发生率约15%。
- 约20%患者会出现贴面切端轻微磨耗,常见于有夜磨牙习惯者。
三、维护与注意事项
为了让牙贴片使用更长久,5年后能保持良好状态,日常维护和出现问题的处理都很重要。
日常护理要点:
- 使用软毛牙刷和无颗粒牙膏。
- 搭配冲牙器清洁贴面边缘。
- 避免啃硬物(如坚果、冰块)。
- 减少深色饮食(咖啡、红酒)摄入。
- 每6个月进行专门检查和抛光。
出现问题处理方案:
- 边缘微渗漏:及时重新粘接,采用37%磷酸酸蚀配合新一代自酸蚀粘接剂。
- 染色问题:诊室漂白配合微研磨可改善2 - 3个色阶(每年不宜超过2次)。
- 较重破损:需更换,全瓷贴面单颗更换费用约3000 - 6000元。

四、费用对比分析
从费用角度来看,树脂贴面和全瓷贴面在5年的使用过程中也有明显差异。
| 项目 | 树脂贴面(2次翻修) | 全瓷贴面(单次) |
|---|---|---|
| 5年总费用 | 6000元×2次 = 1.2万元 | 1.5万元 |
| 牙釉质损耗 | 累计磨除0.6mm以上 | 仅0.2mm |
| 使用寿命 | 3 - 5年 | 10 - 15年 |
| 年均成本 | 约2400元/颗 | 约150元/颗 |
五、专门建议
为了获得更好的牙贴片使用疗效,在材质、医生选择,术后维护以及价格认知方面都有一些专门建议。m.5\(9w.net
材质选择:
- 避免短期诱惑,关注长期疗效。
- 优先选择二矽酸锂玻璃陶瓷(如E - max、美加超薄贴面)。
- 警惕“免磨牙瓷贴面”宣传,正规操作需微创磨牙0.2 - 0.5mm。
医生选择:
- 选择持有中华口腔医学会美学修复认证或DSD数字化微笑设计证书的医生。
- 确保机构具备数字化扫描仪和显微镜等专门设备。
术后维护:
- 调整饮食习惯,避免直接用前牙啃咬硬物。
- 使用修复体专用护理剂。
- 每年检查贴面粘接状态,及时发现并处理微渗漏。
价格认知:
- 树脂贴面合理价格:1500 - 2000元/颗(仅限短期使用)。
- 瓷贴面合理价格:3000 - 6000元/颗(视品牌和医生资历)。
- 警惕低于市场价的瓷贴面,可能为劣质材料。

总结:牙贴片5年后的真实感受因人而异,与材质选择、日常维护等因素密切相关。树脂贴面在5年后可能出现多种问题,而全瓷贴面相对更稳定、美观且耐用。了解这些知识,能帮助大家在选择牙贴片时做出更明智的决策,同时做好维护,延长牙贴片的使用寿命,获得更好的使用体验,这就是本次科普的价值所在。
本文热点关注 牙贴片,全瓷贴面,5年感受
热点资讯更多>
-
担心牙贴片5年后翻车?我的真实感受是没后悔,现在牙齿还像刚贴的一样
你是否好奇牙贴片 5 年后的真实状况?本文深度剖析,对比树脂与全瓷贴面 5 年后的表现,前者易出现牙龈黑线、变色等问题,而全瓷贴面稳定性高、美观持久。还分享了不同使用者的 5 年体验,给出维护要点、费用分析及专业建议。选对材质并做好清洁,牙贴片也能耐用,助你做出明智决策,快来一探究竟!
发表于:2025-11-16 16:00:04 -
成都全瓷牙价格表汇总:爱尔创、美加、威兰德、3M LAVA等不同材料和医院的价格一目了然
想了解2025年成都全瓷牙价格?这篇汇总文别错过!它清晰列出国产爱尔创、美加,进口威兰德、3M LAVA等全瓷牙价格区间,还介绍成都热门口腔医院价格与优势。同时,从修复位置、预算、使用需求等方面给出选款攻略,更有避坑省钱实用Tips。助你快速找到适合自己的全瓷牙方案,赶紧点击查看!
发表于:2025-11-16 12:00:03 -
成都全口假牙价格表:中诺、新桥、极光等8家牙科医院收费对比全曝光
还在为成都全口假牙价格犯愁?本文全曝光中诺、新桥等8家连锁口腔医院收费明细,涵盖吸附性义齿、活动假牙、种植牙等不同类型假牙价格区间。详细分析价格影响因素,如材料、技术、医院资质和患者条件等。更给出按预算选假牙的实用建议及预约挂号攻略,助你结合自身情况选到适合方案,不再盲目消费,赶紧点击了解!
发表于:2025-11-16 09:00:27 -
徐州24小时营业的牙科榜单2025!新城区/泉山区10家正规诊所,看牙不排队
徐州地区有多家提供24小时急诊服务的正规牙科机构,包括美奥口腔、鼎植口腔等10家民营/私立医院,覆盖鼓楼、云龙、泉山等主要城区。这些医院特色各异,如美奥擅长复杂拔牙,鼎植专注种植牙急诊,爱牙口腔则专攻儿童牙科。服务时间多为8:00-20:00,夜间急诊延长至24点,部分机构如美奥、鼎植实现全天候服务。急诊项目包含牙髓炎、牙外伤、矫正托槽脱落等常见问题,价格从50元挂号费到数千元治疗费不等。建议市民保存就近医院的急诊电话,遇到突发牙痛、牙齿损伤时可快速获得专业救治,避免延误病情。
发表于:2025-11-16 09:00:10 -
常州佧瓦口腔怎么预约?常州佧瓦口腔地址及电话一览+种牙挂号指南
常州佧瓦口腔门诊部位于常州市天宁区尚东区花园40号、46号、48号,提供德国技术支持的优质口腔医疗服务,联系电话400-8392-968。该机构拥有600㎡现代化诊疗空间,种植牙价格3300元起,涵盖儿童齿科、正畸、全口种植等项目。特色包括CBCT三维影像系统和微创种植技术,医生团队经验丰富,尤其擅长复杂种植和隐形矫正。患者可享受透明化收费、电子化病历管理及术后跟踪服务,价格低于同业15%。交通便利,公交地铁可达,适合追求高性价比口腔治疗的天宁区居民。
发表于:2025-11-16 09:00:10
